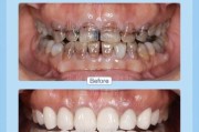
牙齿美学修复多少钱_牙齿美学修复能保持多久 牙齿美学修复多少钱?主流城市参考价:树脂贴面单颗800-1500元,全瓷贴面单颗2500-6000元,全瓷冠单颗4000-12000元,具体需结合牙体条件与医生... 艺术百科 新网编辑 17 2025-11-26
清新艺术猫文案怎么写_清新艺术猫文案灵感哪里找 什么是“清新艺术猫”文案? “清新艺术猫”不是单纯的猫照配字,而是一种把猫咪的灵动、艺术的留白、清新的呼吸感三者揉在一起的文字风格。它像一阵带着薄荷味的风,吹... 艺术百科 新网编辑 19 2025-11-26
艺术打卡文案怎么写_小众展览文案模板 为什么艺术打卡文案越来越难写? 打开社交平台,千篇一律的“太出片了”“氛围感拉满”让人审美疲劳。真正能让小众展览破圈的文案,必须同时满足信息价值与情绪价值。下... 艺术百科 新网编辑 20 2025-11-26
音乐艺术墙面怎么设计_音乐墙用什么材料好 音乐艺术墙面到底在表达什么? 很多业主第一次听到“音乐艺术墙面”时,会下意识联想到贴满音符壁纸的儿童房。其实,**真正的音乐艺术墙面是一种把听觉体验转化为视觉... 艺术百科 新网编辑 20 2025-11-26
艺术台盆怎么选_艺术台盆安装注意事项 一、为什么越来越多人选择艺术台盆? 传统陶瓷盆千篇一律,**艺术台盆**凭借独特造型与材质迅速走红。它不仅是洗漱工具,更是空间视觉焦点。常见疑问:它真的实用吗... 艺术百科 新网编辑 21 2025-11-26
艺术浪漫岛屿有哪些_如何策划浪漫之旅 为什么“艺术浪漫岛屿”成为情侣旅行的热搜词? 当“海岛度假”遇上“艺术氛围”,浪漫指数瞬间翻倍。艺术浪漫岛屿不仅拥有碧海蓝天,更把雕塑、壁画、音乐、灯光装置搬... 艺术百科 新网编辑 19 2025-11-26
男生艺术写真怎么拍_男生写真风格有哪些 很多男生第一次面对镜头都会问:男生艺术写真怎么拍?其实,只要掌握场景、服装、情绪、光影四个关键词,就能把“拍照”升级为“作品”。下面用自问自答的方式,把常见疑问... 艺术百科 新网编辑 19 2025-11-26
白色艺术文案怎么写_白色艺术文案有哪些风格 白色艺术文案到底该怎么写? 白色艺术文案,不是简单地把字放在白底上,而是让“白”本身成为叙事的主角。它像一张留白的宣纸,也像一段未说出口的独白。写作者必须克制... 艺术百科 新网编辑 18 2025-11-26
艺术统考考什么_如何备考 “艺术统考考什么?”、“如何备考才高效?”——每年十月到十二月,这两条搜索量暴涨的长尾词几乎刷屏各大平台。与其到处翻零散经验,不如一次性把核心问题拆透:考纲、评... 艺术百科 新网编辑 17 2025-11-26
歼20隐身性能有多强_歼20艺术文案怎么写 歼20隐身性能有多强? **正面雷达反射面积仅0.001㎡量级,相当于一只麻雀的雷达回波**。 一、隐身黑科技:歼20如何做到“看不见” 歼20的隐身... 艺术百科 新网编辑 18 2025-11-26